子どもの矯正装置”プレオルソ”を知っていますか?
歯並びに舌の位置や口呼吸が関係していることを知っていますか?
鼻がつまってお口で呼吸をしているとポカーンとお口が開いて前歯が前に出てしまい、
いわゆる出っ歯になってしまうことがあります。
また、矯正をしているのに舌の癖のせいで歯並びが改善してこないこともあります。
そこで舌の癖や口の周りの筋肉を鍛えるのがプレオルソという装置です。

この装置は発育成長期に使用するので、歯を抜かずに矯正できる可能性を高めることができる装置です。
主に小学2~3年生頃から使用をスタートします。
丸子歯科では、この装置の前にプレートと呼ばれる顎を広げる装置を使ってから使うことが多いです。
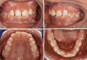
この装置で本当にきれいに並ぶの?とつい思ってしまいますが、きれいに並ぶんです!!
抜かずに矯正できるのはとても魅力的ですよね!!
お子さんの歯並びで気になることがあれば、丸子歯科に相談しに来てくださいね。
抜かずに矯正できるかも!!

