矯正治療が終了して定期健診に入ったタイミングで、ホワイトニングで歯を白くしたいとご希望される方もいらっしゃいます。
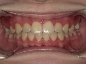
私の娘(18歳)も矯正治療が終了して、歯並びが綺麗になりました。
本人としては少し歯が黄色く感じるので、ホワイトニングをやってみていと希望しました。
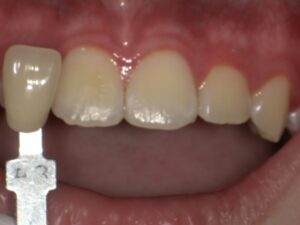
まずは、型どりをして、上顎からスタートします。

こちらの写真は、スタート時のものです。
現在、スタートして1週間ほど経ちますが、1トーンほど歯が白くなったように感じます。
費用は通常1顎22,000円(薬剤は別途必要)ですが、矯正後ホワイトニングをご希望の方は1顎11,000円で始めることができます。
詳しくは、スタッフまでお問い合わせください。
